Restorative Dentistry
in Fairport, NY
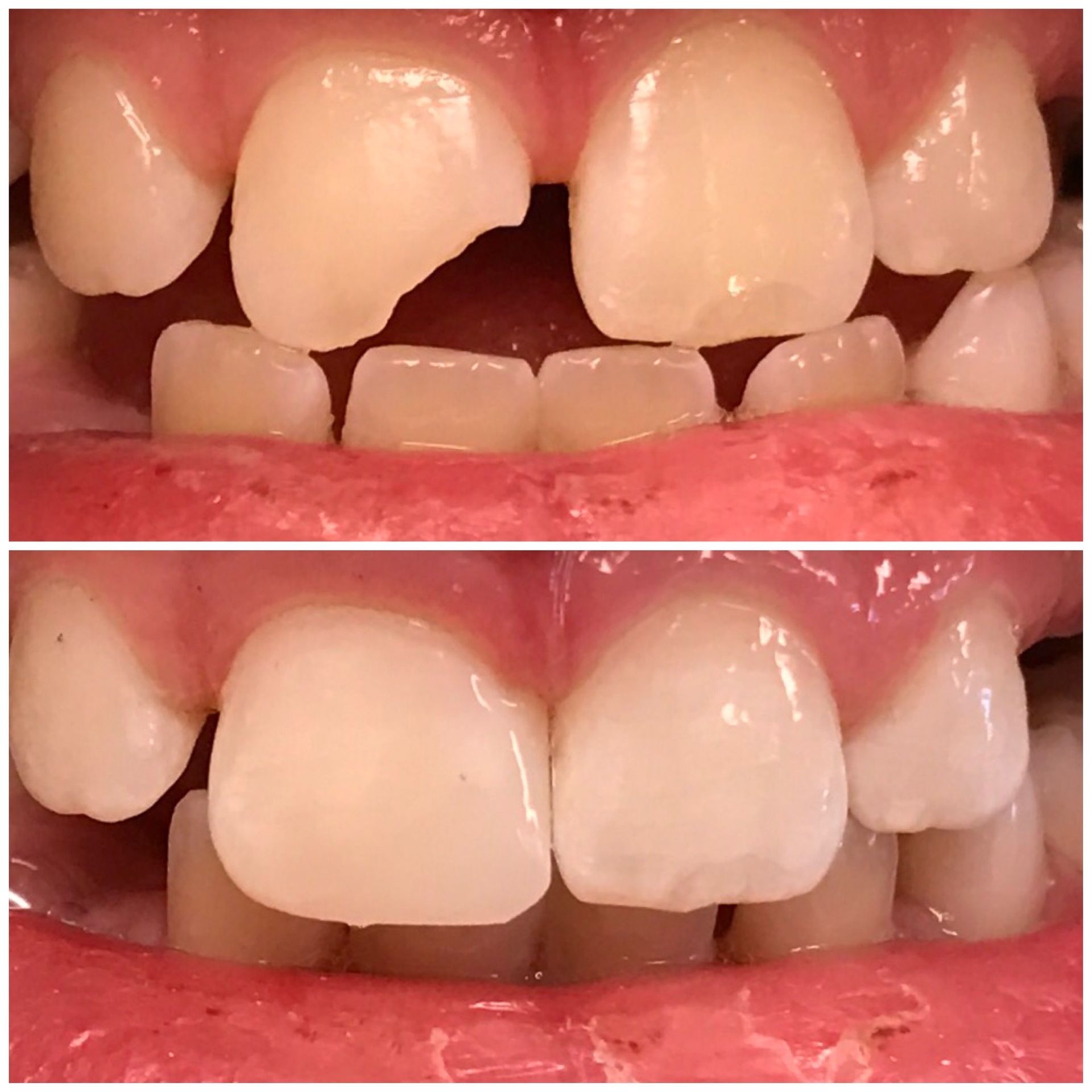
Dr. Mayer in Fairport, NY, can diagnose and manage dental diseases (teeth, gums, jaw, and face) that have led to the need for restorative dentistry. This aids in rehabilitating dental health and gives patients a more beautiful smile through aesthetic adjustments such as cosmetic bonding, crowns, bridges, dentures, tooth-colored fillings, implant restorations, chipped tooth repair, and tooth fillings. Call us today at (585) 383-9220 to arrange a consultation.
Need to restore your teeth? Call (585) 383-9220 to learn more.













